Phone / WhatsApp

0556764642
Talk On WhatsApp

Clinic Working Hours

Monday-Saturday 10AM - 7PM

Our Address

Abu Dhabi, UAE.

Get Directions
home page
Monday-Saturday 10AM - 7PM
Abu Dhabi, UAE.
Get Directions

Gum Treatment

A perfect smile consists of not only immaculate teeth, but also flawless gums. We have professionals who have received excellent training in modifying the gums to their ideal contour, form and colour.We perform crown lengthening, gum lightening, root coverage, soft and hard tissue grafts, and other procedures which help shape gums to their ideal form. We also have multiple solutions for bleeding gums, bad breath, and associated issues. If you have any gum related concerns, please feel free to discuss them with us.

What You Need To Know

Overview

Modern cosmetic dentistry is not just about the teeth, but also pays close attention to the "pink esthetics" or gums. Gum health is very important for a healthy smile and also to prevent bad breath.

Cost of Ignorance

The gums are the key to dental health, and are often neglected by patients and dentists alike. If the gums are unhealthy and inflammed, i.e. infected, the underlying bone is slowly eaten away by the infection. This bone loss is irreversible, and leads to a lack of support for the overlying teeth.. If left untreated, it will eventually lead to tooth mobility and tooth loss due to lack of support. Also, gum disease has many other unwanted side effects, like bleeding, bad breath, unsightly appearance etc.

Dr. Rajbala Jaju

BDS, MOM Implantology Muenster, Germany

Dr Rajbala Jaju (BDS, MOM Implantology Muenster, Germany) started Gentle Dental Care in Mumbai in 1981 with the aim of providing high quality dental care to her patients. Even at that time, almost 40 years ago, Dr. Jaju used to call specialists to her clinic for multidisciplinary treatment planning because of her quality oriented approach.

With over 37 years of experience and a Masters in Implantology, she is also an Associate Fellow of the prestigious AAID (American Academy of Implant Dentistry). She is always striving to learn new things and update her knowledge and equipment, as she believes that experience plus technology equals quality, which is the ultimate aim for her patients.

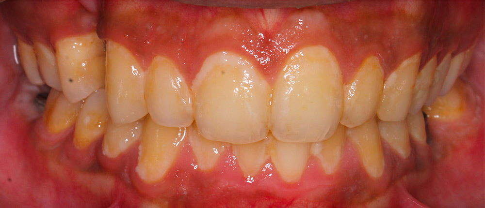
Case 1

  • Space
    Before Treatment
  • Space
    Before Treatment
  • Space
    Before Treatment
  • Space
    Before Treatment
  • Space
    After Treatment
  • Space
    After Treatment
  • Space
    After Treatment
  • Space
    After Treatment

Case 2

  • Space
    Before Treatment
  • Space
    Before Treatment
  • Space
    After Treatment
  • Space
    After Treatment